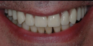
Paziente di anni 50 con una protesi superiore mobile con ganci su cinque denti non più recuperabili.
La situazione era tale che per eseguire una protesi su impianti convenzionali avrebbe dovuto effettuare il rialzo del seno mascellare.

In accordo con il paziente si è optato, mediante l’ausilio dell’implantologia computer assistita All on 4, per l’inserimento di soli 4 impianti di cui due inclinati che evitassero il seno mascellare.
In un breve periodo viene fabbricata una protesi che sarà avvitata sui 4 impianti.

Oltre alla dentatura armoniosa e alle gengive in salute, l’ideale di bellezza del nostro sorriso è sicuramente associato a una buona visibilità.